The Daily Insight

Connected.Informed.Engaged.

updates

Would a tubal pregnancy show up on an ultrasound?

Writer Rachel Ellis

Most ectopic pregnancies can be detected using a pelvic exam, ultrasound, and blood tests.

Can ultrasound detect ectopic pregnancy?

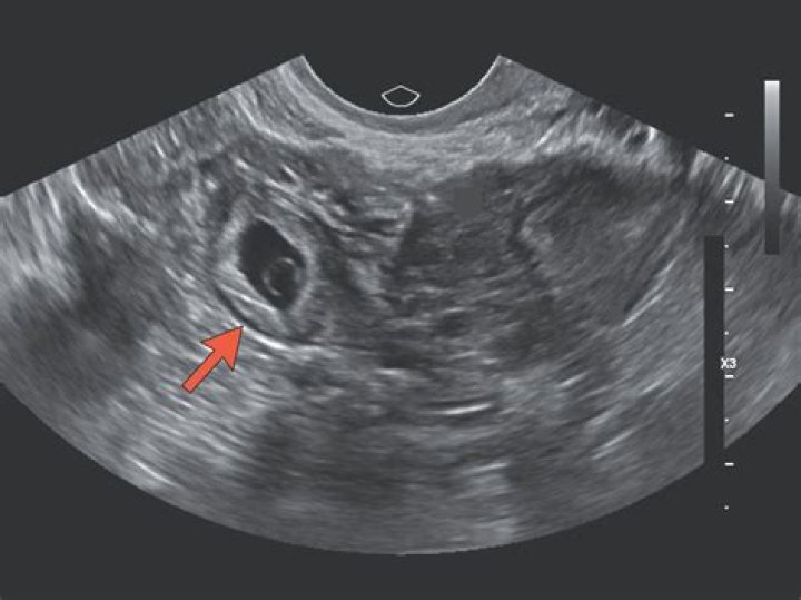
An ectopic pregnancy is usually diagnosed by carrying out a transvaginal ultrasound scan.

Can you miss an ectopic pregnancy on ultrasound?

Ectopic Pregnancy Symptoms

Symptoms of an ectopic pregnancy can be easy to miss. Often early signs mimic early pregnancy signs. Your doctor may suspect ectopic pregnancy if a pelvic exam reveals an abnormal lump in the tubal area or if you have unusual abdominal pain or tenderness.

When will an ectopic pregnancy show on the ultrasound?

Levels of this hormone increase during pregnancy. This blood test may be repeated every few days until ultrasound testing can confirm or rule out an ectopic pregnancy — usually about five to six weeks after conception.

Does a tubal pregnancy show up?

You may not notice any symptoms at first. However, some women who have an ectopic pregnancy have the usual early signs or symptoms of pregnancy — a missed period, breast tenderness and nausea. If you take a pregnancy test, the result will be positive. Still, an ectopic pregnancy can't continue as normal.

How Can I Spot an Ectopic Pregnancy With Ultrasound?

21 related questions found

What are the signs of pregnancy if your tubes are tied?

Symptoms associated with pregnancy include:
  • breast tenderness.
  • food cravings.
  • feeling sick when thinking about certain foods.
  • missing a period.
  • nausea, especially in the morning.
  • unexplained fatigue.
  • urinating more frequently.

How long can an ectopic pregnancy go unnoticed?

How long can it go unnoticed? If it's not picked up in a scan, an ectopic pregnancy can go unnoticed for the first 16 weeks of pregnancy, until the fertilised egg is large enough to cause significant pain. However, it usually creates symptoms earlier than this.

What does ectopic pain feel like?

There might be pain in the pelvis, abdomen, or even the shoulder or neck (if blood from a ruptured ectopic pregnancy builds up and irritates certain nerves). The pain can range from mild and dull to severe and sharp. It might be felt on just one side of the pelvis or all over.

Will you always get a positive pregnancy test with an ectopic pregnancy?

Would an Ectopic Pregnancy Show Up on a Home Pregnancy Test? Since ectopic pregnancies still produce the hormone hCG, they'll register as a positive home pregnancy test. Women with ectopic pregnancies will also experience early pregnancy symptoms like sore breasts, nausea, spotting, and more.

When do ectopic pregnancy pains start?

Women with an ectopic pregnancy may have irregular bleeding and pelvic or belly (abdominal) pain. The pain is often just on 1 side. Symptoms often happen 6 to 8 weeks after the last normal menstrual period. If the ectopic pregnancy is not in the fallopian tube, symptoms may happen later.

Has anyone had an ectopic pregnancy?

Ectopic pregnancies are extremely rare. To put it in perspective, this only happens in about 1% of all pregnancies. Since an embryo can't survive and grow outside of the uterus, my pregnancy was not viable. And because there was a rupture inside my body, I had to have an emergency surgery to remove it.

At what hCG level can ectopic be seen?

An ectopic pregnancy can be suspected if the transvaginal ultrasound examination does not detect an intrauterine gestational sac when the β-hCG level is higher than 1,500 mIU per mL.

What are the symptoms of ectopic pregnancy at 4 weeks?

Early signs of an ectopic pregnancy include:
  • Light vaginal bleeding and pelvic pain.
  • Upset stomach and vomiting.
  • Sharp abdominal cramps.
  • Pain on one side of your body.
  • Dizziness or weakness.
  • Pain in your shoulder, neck, or rectum.

Can an ectopic pregnancy be misdiagnosed?

Misdiagnosis is one of the primary causes of ectopic pregnancy negligence. Medical professionals must recognise the symptoms, ask relevant questions of their patients and perform any necessary tests to determine the true cause of the patient's symptoms.

What Week Do ectopic pregnancy symptoms start?

Symptoms of an ectopic pregnancy usually develop between the 4th and 12th weeks of pregnancy. Some women don't have any symptoms at first. They may not find out they have an ectopic pregnancy until an early scan shows the problem or they develop more serious symptoms later on.

How can you rule an ectopic pregnancy at home?

A urine pregnancy test—including a home pregnancy test—can accurately diagnose a pregnancy but cannot detect whether it is an ectopic pregnancy. If a urine pregnancy test confirms pregnancy and an ectopic pregnancy is suspected, further blood testing or ultrasound is needed to diagnose an ectopic pregnancy.

Do ectopic symptoms come and go?

Ectopic Pregnancy Symptoms

Sharp or stabbing pain that may come and go and vary in intensity. (The pain may be in the pelvis, abdomen, or even the shoulder and neck due to blood from a ruptured ectopic pregnancy pooling under the diaphragm).

What color is blood from ectopic pregnancy?

Symptoms of ectopic pregnancy

It often starts and stops, and can be bright or dark red in colour. Some women mistake this bleeding for a regular period and do not realise they are pregnant. Shoulder tip pain — shoulder tip pain is felt where your shoulder ends and your arm begins.

Can you have ectopic pregnancy without bleeding?

However, if you experience typical pregnancy symptoms, such as nausea, painful breasts or a swollen abdomen but no bleeding or pain, this does not completely rule out an ectopic pregnancy, although this is rare. A true period should be normal flow and duration for you.

Can ectopic pregnancy go away on its own?

About half of ectopic pregnancies may resolve on their own where there is a drop in hCG levels. If a person develops new symptoms, another ultrasound scan may be done, and treatment options will be reassessed. Medical or surgical intervention may be required if it does not complete as planned.

Has any baby survived an ectopic pregnancy?

Doctors have hailed as a "miracle" the birth of a baby who beat odds of 60m to one to become the first to develop outside the womb and live. Not only did the baby boy and his mother survive an ectopic pregnancy - but so did two other baby girls. Ronan Ingram was one of three children born to Jane Ingram, 32.

Can you see an ectopic pregnancy on ultrasound at 6 weeks?

An intra-uterine pregnancy can usually be seen by 5-6 weeks gestation or when the HCG level is more than 1000 IU/l. In 95% of ectopic pregnancy cases, a good transvaginal ultrasound examination can actually image the ectopic pregnancy in the Fallopian tube.

Can you get your period if you have an ectopic pregnancy?

You might miss your period and have discomfort in your belly and tenderness in your breasts. Only about half of women with an ectopic pregnancy will have all three of the main signs: a missed period, vaginal bleeding, and belly pain.

Who are at risk of ectopic pregnancy?

All sexually active women are at some risk for an ectopic pregnancy. Risk factors increase with any of the following: maternal age of 35 years or older. history of pelvic surgery, abdominal surgery, or multiple abortions.

Can hCG double with ectopic?

In 8 out of the 9 women who were ultimately diagnosed as having an ectopic pregnancy, the increase in hCG progressed only slowly, with a doubling time exceeding 2.2 days.