The Daily Insight

Connected.Informed.Engaged.

updates

Can cats get anaplasma?

Writer James Stevens

Anaplasmosis is a vectorborne disease caused by the gram-negative bacterium Anaplasma phagocytophilum. This species displays positive tropism to granulocytes and can cause illness in several mammalian species, including cats, dogs, and humans. It is considered as an emerging disease in Europe.

Can animals get anaplasmosis?

Anaplasmosis is a tick-borne disease seen across the US that can infect humans, canines, and many farm animals.

Can cats get Ehrlichia?

Ehrlichiosis in cats is rare, although the illness does occur occasionally. Another form of ehrlichiosis, known as canine granulocytic ehrlichiosis, occurs when your pet is bitten by a lone star tick.

Is Anaplasma the same as anaplasmosis?

Anaplasmosis is a tickborne disease caused by the bacterium Anaplasma phagocytophilum. Anaplasmosis is a disease caused by the bacterium Anaplasma phagocytophilum.

Is Anaplasma contagious?

Anaplasmosis is not contagious from person-to-person. You can't get it from spending time with someone who has it. In rare cases, you may get it through a blood donation or solid organ transplant.

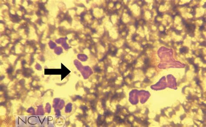
Bovine Anaplasmosis-Veterinary Pathology

26 related questions found

What is anaplasmosis in animals?

Anaplasmosis is a blood cell parasite of cattle with a worldwide distribution, but the disease is most common in tropical and subtropical areas. Anaplasma marginale is the most common organism involved in cattle, and it is transmitted through the bite of Dermacentor spp.

Can anaplasmosis be cured?

Anaplasmosis is curable but it can be a serious and sometimes fatal disease. Symptoms of anaplasmosis usually begin five to 21 days after a tick bite and can include: Fever. Chills.

Can humans get anaplasmosis?

Although people of any age can get anaplasmosis, it tends to be most severe in the aging or immune-compromised. Severe complications can include respiratory failure, renal failure and secondary infections.

Will anaplasmosis go away on its own?

With diagnosis and treatment, most people will recover from anaplasmosis with no long-term health issues. It is fatal in less than 1% of cases. People who do not seek treatment early, older adults, and those with weakened immune systems may not recover as easily. They may develop more severe symptoms or complications.

What is the first line of treatment for anaplasmosis?

Use doxycycline as the first-line treatment for suspected anaplasmosis in patients of all ages.

What is doxycycline for cats?

Doxycycline is used in cats to treat susceptible bacterial infections and infections caused by a number of other organisms including Bartonella, Hemoplasma, Chlamydia felis, Ehrlichia, Anaplasma, and Toxoplasma.

Can Bartonella in cats be cured?

Treatment. Doxycycline, amoxicillin, enrofloxacin, and rifampin given for a long duration (4-6 weeks) may be effective in reducing the level of bacteremia in the infected cat or dog. The ability of any antibiotic or antibiotic combination to completely clear B. henselae from the blood stream has not been established.

Can cats get e Canis?

Ehrlichiosis in felines is believed to be a tick-born disease caused by one of several intracellular organisms known as rickettsial. Belonging to the genus, Ehrlichia, the primary causative agents to cause ehrlichiosis in cats are Ehrlichia risticii (E. risticii) and Ehrlichia canis (E. canis ).

How common is anaplasmosis?

The number of anaplasmosis cases reported to CDC has increased steadily since the disease became reportable, from 348 cases in 2000, to a peak of 5,762 in 2017. Cases reported in 2018 were substantially lower, but increased to near 2017 numbers in 2019 with 5,655 cases.

Is Anaplasma a protozoa?

Anaplasma species were originally regarded as protozoan parasites, but later research showed they had no significant attributes to justify this description. Since 1957, they have been classified in the family Anaplasmataceae of the order Rickettsiales.

Can humans get anaplasmosis from dogs?

Can I get anaplasmosis from my dog? Anaplasmosis is considered a zoonotic pathogen. This means it has the potential to infect humans. However, direct transmission from animals to people, or animal to animal is highly unlikely and has not been documented.

What happens if anaplasmosis is not treated?

If left untreated, anaplasmosis can be fatal. Severe symptoms include difficulty breathing, hemorrhage, renal failure, or neurological problems. Immune-compromised individuals may develop more severe symptoms than normally healthy individuals.

How is anaplasmosis treated in animals?

During the carrier stage, an animal will not exhibit any clinical signs associated with the persistent low-level A. marginale infection. Nevertheless, the blood from these recovered animals will cause anaplasmosis if introduced into susceptible cattle. Carriers very rarely become ill with anaplasmosis a second time.

What are signs of anaplasmosis?

Signs and Symptoms
  • Fever, chills.
  • Severe headache.
  • Muscle aches.
  • Nausea, vomiting, diarrhea, loss of appetite.

Which is worse Lyme and anaplasmosis?

If you have a medical concern, please consult your doctor immediately. Anaplasmosis is not when a tick bites you and you become a superhero. Unfortunately, it is a tick-borne disease that is worse than Lyme disease.

What are the long term effects of anaplasmosis?

While lesser-known than the far more prevalent Lyme disease, anaplasmosis can lead to similar long-term effects without a proper diagnosis, including neurological and joint problems and kidney failure. Rarely, it causes brain swelling and meningitis.

How can anaplasmosis be prevented?

There is no vaccine to prevent anaplasmosis. Prevent illness by preventing tick bites, preventing ticks on your pets, and preventing ticks in your yard. Ticks live in grassy, brushy, or wooded areas, or even on animals, so spending time outside camping, gardening, or hunting will bring you in close contact with ticks.

Is anaplasmosis a parasite?

Anaplasmosis is a disease caused by a rickettsial parasite of ruminants, Anaplasma spp and is therefore related to rickettsial disease. The microorganisms are Gram-negative, and infect red blood cells. They are transmitted by natural means through a number of haematophagous species of ticks.

How can anaplasmosis be prevented in animals?

Therefore, control of vectors is key to preventing anaplasmosis. If necessary herd treatment with oxytetracycline injection every 3 to 4 weeks during high risk times may be necessary will prevent clinical disease but animals can become carriers. Chlortetracycline also known as CTC can reduce the risk of anaplasmosis.

What species does anaplasma infect?

Anaplasmosis, formerly known as gall sickness, traditionally refers to a disease of ruminants caused by obligate intraerythrocytic bacteria of the order Rickettsiales, family Anaplasmataceae, genus Anaplasma. Cattle, sheep, goats, buffalo, and some wild ruminants can be infected with the erythrocytic Anaplasma.